子宫内膜腺纤维瘤是一种苗勒管起源的良性混合肿瘤,是罕见的子宫良性肿瘤,其临床表现和体征无特异性,影像学表现各不相同,存在诊断困难、误诊、漏诊的情况。由于子宫内膜腺纤维瘤复发率高,局部肿瘤切除术后往往有多次复发,所以全子宫切除是子宫内膜腺纤维瘤的首选治疗方法。本文通过对子宫内膜腺纤维瘤的发病特点、临床表现、影像学表现、诊断及治疗进行分析,并复习相关文献,为其临床诊治提供帮助。
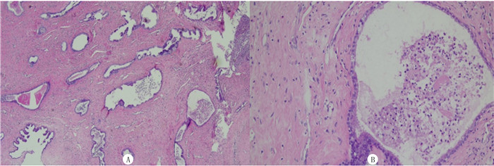
1 病例报告病人,女性,72岁。因“查体发现子宫内膜增厚2 d于2021-01-05入院。病人自然绝经20年,无异常阴道流血、排液,既往体健,无口服激素类或他莫昔芬药物史。病人2 d前于外院查体B超提示子宫内膜增厚2.4 cm。入院妇科查体:外阴无异常,阴道通畅,宫颈光滑,子宫略增大、无压痛,双附件区无异常。复查妇科B超示:子宫后位,约5.7 cm×5.6 cm×4.9 cm;内膜厚2.2 cm,其内回声不规则,见多个孔状无回声,与肌层分界尚清,未见明显血流信号。盆腔MR平扫示:子宫内膜不均质增厚,宫腔内可见规则长T1、等长T2异常信号,DWI呈混杂稍高信号,病变大小约4.6 cm ×3.2 cm×1.9 cm,考虑为子宫内膜息肉。肿瘤标记物检测:CA125为364.00 kU/L,余(-)。诊断性刮宫病理示:子宫内膜型息肉。于2021-01-08行宫腔镜下宫腔肿物电切术,镜下见:宫腔形态大致正常,子宫内膜薄,宫腔内见大小约4.0 cm×3.0 cm×3.0 cm息肉样赘生物,自宫底前壁突出至宫颈管内。术后病理示:子宫内膜息肉,符合腺肌瘤型息肉,腺体囊性扩张,局灶炎性坏死(图 1A、B)。术后无异常症状。术后8个月复查B超示:内膜厚约1.3 cm,内回声不均匀,可见多发囊性孔状无回声,与子宫肌层分界尚清,可见少许点状血流信号。进一步行宫腔镜检查,镜下见:子宫内膜中厚,宫底见分叶状息肉样物,直径约2.5 cm,表面有乳头状突起,血运较丰富。未刮取组织送检。于2021-09-17行宫腔镜下宫腔肿物电切术,镜下见:子宫后壁近宫底突出肿物,直径约2.0 cm,毛糙、质脆、血运较丰富,余内膜萎缩。术后病理检查子宫内膜符合腺纤维瘤,伴间质增生活跃,可见核分裂象(图 2A、B)。免疫组化检查结果示:CD10(+),SMA(-),Ki-67(+,10%)(图 2C~E)。遂于2021-10-22在全麻下行腹腔镜下全子宫+双附件切除术。术中剖视子宫见:子宫内膜较薄,未见明显赘生物。术后病理检查示:增殖期状态子宫内膜。术后病人恢复良好,不需进一步治疗,术后1年随访复查B超未见异常。
![]() |
| A:术后病理HE染色,40倍;B:术后病理HE染色,200倍。 图 1 子宫内膜息肉术后病理检查(2021-01-08) |
![]() |
| A:HE染色,40倍;B:HE染色,200倍;C:CD10(+),200倍;D:SMA(-),200倍;E:Ki-67(+,10%),200倍。 图 2 子宫内膜腺纤维瘤术后病理及免疫组化检查(2021-09-17) |
子宫内膜腺纤维瘤是一种混合性上皮-间质肿瘤,是极为少见的子宫良性肿瘤[1],其中上皮和间质成分均为良性,约90%发生在子宫内膜,10%发生在子宫颈。子宫内膜腺纤维瘤病人临床表现和体征无特异性,诊断困难。
2.1 发病特点本病多见于围绝经期及绝经后妇女,平均发病年龄68岁,但也可能发生在育龄期妇女中。其发病原因尚未明确,有文献报道子宫内膜腺纤维瘤与乳癌病人长期服用他莫昔芬有一定的相关性,接受他莫昔芬治疗的乳癌病人常出现子宫内膜病变,包括子宫内膜癌和子宫内膜增生[2]。但关于他莫昔芬与子宫腺纤维瘤之间关系的报道仍然很少,其因果关系并不确定。
2.2 临床表现本病最常见的临床表现是绝经前后的异常阴道流血、溢液,伴或不伴有下腹痛[1, 3],部分病例报道中病人无异常临床表现,仅查体发现内膜病变[4-5]。病变多局限于子宫内膜或宫颈内膜,妇科查体往往提示子宫均匀增大或正常大小,质软,或宫颈息肉样肿物,若肿瘤由子宫颈脱出,可于阴道内见脱出的肿物。GEMER等[6]报道了1例患有子宫内膜腺纤维瘤的48岁病人,表现为子宫浆膜下囊性包块,考虑肿瘤可能是来自苗勒管残留。本文病人72岁,自然绝经后20年,无阴道流血等症状,妇科查体子宫略增大,与上述文献报道相符。
2.3 影像学表现既往文献对本病的影像学描述各有不同。若肿瘤局限在子宫内膜,超声多表现为宫腔内低回声肿块,呈大小不等、形状不一的乳头状,包含许多小囊肿,大小不等的囊肿之间有许多高速-低阻力血管[2];若肿瘤局限于宫颈内膜,超声多表现为多房性囊实性宫颈包块,囊性成分呈多腔、均匀低回声,伴后部声学增强,实性部分血管流量明显增加[7];若肿瘤由宫颈口脱出,超声可表现为包含多个囊性成分的阴道内包块。子宫内膜腺纤维瘤的MRI多表现为子宫内膜增厚,宫腔内高回声为主的混杂回声包块,内含多发囊肿和低信号纤维隔膜,包块与子宫肌层分界清晰;增强T1加权成像包块多呈均匀低信号,可见与包块低对比增强的隔膜;增强T2加权成像多显示为不均匀高信号[2, 8-9]。局限在宫颈或突入阴道的肿瘤亦有以上影像学特点。另有研究显示,宫腔镜下子宫内膜腺纤维瘤多表现为粉色息肉样肿物,可见乳头状突起,血运较丰富,但肿瘤很容易因膨宫灌注而变形,因此表面也可呈黄白色[5]。本文研究中病人妇科超声和MRI表现并不典型,而宫腔镜下表现与上述文献相符。
2.4 病理诊断既往文献中,只有极个别病例通过术前诊断性刮宫确诊为子宫内膜腺纤维瘤,因诊断性刮宫取出的组织有较多纤维,取材有限存在误诊、漏诊的可能。通常是在肿瘤完整切除后或全子宫切除术后,通过组织病理学明确诊断。子宫内膜腺纤维瘤的上皮成分通常由复层鳞状、黏液性或非黏液性柱状上皮组成,间质由成纤维细胞组成,无细胞异型性,细胞分裂象少,偶发性肿瘤含有异源成分,如骨骼肌或脂肪[10-11]。子宫内膜腺纤维瘤主要需与子宫腺肉瘤和子宫内膜息肉相鉴别。子宫腺肉瘤是一种混合中胚层肿瘤,其上皮组织学上是良性的,但间质成分是肉瘤性的[1]。目前,区分子宫内膜腺纤维瘤和子宫腺肉瘤的标准是间质中有丝分裂象的频率: 腺纤维瘤每10个高倍视野中有3个或更少的有丝分裂象,而腺肉瘤有4个或更多。另外,子宫内膜息肉具有更光滑、更圆的黏膜表面,缺少腺纤维瘤的乳头状突起,其间质有较多形态不规则的腺体,其不规则性和过度增生程度更高。此外,息肉不具有有丝分裂活性[12]。既往文献研究显示,子宫内膜腺纤维瘤免疫组化无特异性。在大多数情况下,免疫组化检查只应用于确定异源成分,特别是横纹肌细胞。本文研究病人术前诊断性刮宫病理提示子宫内膜息肉,考虑与取材有限有关;第1次宫腔镜局部肿瘤切除术后病理提示腺肌瘤型子宫内膜息肉,第2次宫腔镜局部肿瘤切除术病理提示子宫内膜腺纤维瘤。后与病理科医师沟通,将两次宫腔镜术后病理比较,认为第1次宫腔镜电切标本因局部坏死而不能判断纤维间质成分,可能导致病理类型不符合。子宫内膜腺纤维瘤局部炎性坏死少见,但对于疾病的预后无影响,临床医师应注意肿物切除的完整性,病理科医师也应注意判断间质成分。
2.5 治疗方法既往研究显示,子宫内膜腺纤维瘤虽是良性病变,但存在高复发率[5]。全子宫切除术是子宫内膜腺纤维瘤的首选治疗方法,肿瘤在不完全刮除或切除时可能会复发,全子宫切除术保证了肿瘤的完整切除,并确保充分取样以排除腺肉瘤或腺癌的可能。而对于育龄期妇女,如有生育要求,在完整切除肿瘤和术后长期随访可以得到保证的情况下,行宫腔镜下局部肿瘤切除术可以作为子宫切除术的一种替代治疗[4],术后半年随访复查,生育后可行全子宫切除术。另外,对于乳癌口服他莫昔芬治疗的病人,病变需与间叶恶性肿瘤相鉴别,所以建议行全子宫切除术[2]。本文病例自然绝经20年,局部肿瘤切除术后病理诊断为子宫内膜腺纤维瘤,最终行全子宫切除术,术后随访良好。
总之,子宫内膜腺纤维瘤是罕见的子宫良性肿瘤,相关的文献报道较少。本文报告1例子宫内膜腺纤维瘤,通过对其发病特点、临床表现、影像学表现、诊断及治疗的分析并结合文献复习,总结子宫内膜腺纤维瘤的疾病特点如下。①组织学良性:子宫内膜腺纤维瘤是一种苗勒管起源的良性混合肿瘤,其上皮和间质成分在组织学上均是良性的;②诊断困难:子宫内膜腺纤维瘤的临床表现无特异性,影像学辅助检查表现各异,诊断性刮宫、肿瘤局部切除存在误诊、漏诊的情况,通常是在肿瘤完整切除后或全子宫切除术后,通过组织病理学检查明确诊断;③复发率高。因此,全子宫切除术是子宫内膜腺纤维瘤的首选治疗方法。因子宫内膜腺纤维瘤的临床资料较少,该病是否会进展为腺肉瘤、癌肉瘤等内膜恶性病变及其癌变率尚未可知[13],对于本病的发病原因、恶性转化可能和预后还有待进一步研究。
| [1] |
ZALOUDEK C J, NORRIS H J. Adenofibroma and adenosarcoma of the uterus: a clinicopathologic study of 35 cases[J]. Cancer, 1981, 48(2): 354-366. DOI:10.1002/1097-0142(19810715)48:2<354::AID-CNCR2820480222>3.0.CO;2-Q |
| [2] |
IKUTA A, TANAKA Y, MIZOKAMI T, et al. Benign endometrial adenofibroma and polyp in patients receiving tamo-xifen: findings on transvaginal ultrasonography and magnetic resonance imaging[J]. Journal of Medical Ultrasonics (2001), 2005, 32(2): 71-76. DOI:10.1007/s10396-005-0036-0 |
| [3] |
BETTAIEB I, MEKNI A, BELLIL K, et al. Endometrial adenofibroma: a rare entity[J]. Archives of Gynecology and Obstetrics, 2007, 275(3): 191-193. DOI:10.1007/s00404-006-0196-1 |
| [4] |
MACIEL R, CARVALHO S, TEIXEIRA M, et al. Adenofibroma in a young patient: a rare entity in an uncommon age[J]. Case Reports in Obstetrics and Gynecology, 2013, 2013: 308464. |
| [5] |
WATANABE H, HARADA N, NOBUHARA I, et al. Magnetic resonance imaging and flexible hysterofiberscopic findings of a uterine adenofibroma: case report and literature review[J]. Case Reports in Obstetrics and Gynecology, 2018, 2018: 9685683. |
| [6] |
GEMER O, MOR C, SEGAL S. Uterine adenofibroma pre-senting as a cystic adnexal mass[J]. Archives of Gynecology and Obstetrics, 1995, 256(2): 99-101. DOI:10.1007/BF00634715 |
| [7] |
RA J C, PARK S B, LEE J B, et al. Adenofibroma in the uterine cervix manifesting as multilocular cystic lesions[J]. Ultrasound Quarterly, 2017, 33(1): 74-76. DOI:10.1097/RUQ.0000000000000242 |
| [8] |
KONISHI Y, SATO H, FUJIMOTO T, et al. Adenofibroma of the endometrium protruding into the vaginal cavity: findings on transvaginal ultrasonography, MRI and CT[J]. The Journal of Obstetrics and Gynaecology Research, 2006, 32(6): 623-627. DOI:10.1111/j.1447-0756.2006.00467.x |
| [9] |
尹柯, 朱瑞萍, 伍建林. 子宫内膜腺纤维瘤MRI表现1例[J]. 湖北科技学院学报(医学版), 2019, 33(5): 447-448, 461. |
| [10] |
HORIE Y, IKAWA S, KADOWAKI K, et al. Lipoadenofibroma of the uterine corpus. Report of a new variant of adenofibroma (benign müllerian mixed tumor)[J]. Archives of Pathology & Laboratory Medicine, 1995, 119(3): 274-276. |
| [11] |
SINKRE P, MILLER D S, MILCHGRUB S, et al. Adenomyofibroma of the endometrium with skeletal muscle differentiation[J]. International Journal of Gynecological Pathology: Official Journal of the International Society of Gynecological Pathologists, 2000, 19(3): 280-283. DOI:10.1097/00004347-200007000-00014 |
| [12] |
OH J, PARK S B, HAN B H, et al. Imaging features of carcinosarcoma arising from adenofibroma of the uterus: a case report[J]. Current Medical Imaging, 2020, 16(8): 1048-1051. DOI:10.2174/1573405615666190926160345 |
| [13] |
刘丽霞, 刘文飞, 佟春艳, 等. 子宫内膜腺纤维瘤1例[J]. 大连医科大学学报, 2020, 42(3): 279-282. |
2024, Vol. 60



