颈椎病是脊柱外科常见疾病,颈椎前路椎间盘切除减压融合术(ACDF)是治疗颈椎病的标准术式,术后颈椎生物力学的改变,加速了相邻椎间盘退变的进程,术后发生邻近节段退变(ASD)是ACDF术后的远期并发症之一,也是造成ACDF术后翻修的一个常见原因。本文对ACDF治疗颈椎病病人进行随访,探讨ASD发病率及主要的影响因素。现将结果报告如下。
1 资料与方法 1.1 一般资料2015年7月—2017年12月,选取在我院进行ACDF手术、采用钛板联合Cage固定方式治疗颈椎病病人60例,男33例,女27例;年龄44~77岁,平均(61.68±6.66)岁。术前诊断均为脊髓型或神经根型颈椎病。入组标准:①明确诊断为颈椎病病人;②行颈前路单节段减压钛板联合Cage融合内固定术。排除标准:①术前邻近节段发生严重退变;②术后发生严重并发症。
1.2 手术方法取右侧颈部横切口,逐层暴露,将气管、食管与颈部动脉鞘分离,纵行切开气管前筋膜,并将气管、食管牵向左侧,暴露椎前筋膜。在椎间隙插入定位针,C型臂X线透视定位椎间隙,安放撑开螺钉,放置颈椎自动撑开器以恢复颈椎曲度及椎间隙高度;尖刀片切开椎间盘,刮除责任椎间盘至上下软骨终板。充分减压,椎间隙植入大小合适Cage一枚,前方放置钛板,加压固定,放置引流管后逐层缝合。
1.3 ASD诊断标准病人术前、末次随访均行颈椎正、侧位X线及MRI检查。根据既往文献,参考PARK等[1]对邻近节段骨化的分级方法及MIYAZAKI等[2]建立的基于颈椎间盘MRI表现的退变评价系统,ASD的诊断标准如下:①邻近椎体有明显骨赘形成;②邻近椎间隙明显变窄;③MRI上邻近椎间隙呈低信号且明显塌陷;④MRI上邻近椎间盘突出压迫硬膜囊。以上条件满足其一即诊断为ASD。
1.4 观察指标对病人临床及影像学资料进行分析,指标包括病人性别、年龄、钢板距邻近椎间隙之间的距离(PDD)、术后整体Cobb角(第二椎体下终板水平线与第7椎体下终板水平线所形成的角度,表示颈椎前凸曲度)、C3~C7椎管直径平均值等。
1.5 统计学处理应用SPSS 20.0软件进行统计学分析,计量资料结果以x±s表示,数据间比较采用独立样本t检验,计数资料比较采用χ2检验。
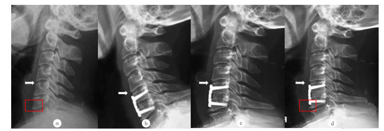
2 结果术后随访2年,ASD的发病率为23.3%(14/60)。1例病人ASD影像表现见图 1。根据末次随访时融合椎体邻近节段是否发生ASD,将病人分为无退变组(A组)和ASD组(B组),ASD组与无退变组病人性别、椎管直径比较差异无显著性(P>0.05);ASD组年龄大于无退变组,术后Cobb角和PDD均小于无退变组,差异有显著性(t=-8.12~2.83, P<0.05)。见表 1。
![]() |
| 病人,女,70岁,入院诊断为C5/6椎间盘突出症,行ACDF、钛板联合Cage固定术。a为病人术前X线图像;b为病人术后3 d的X线图像;c为病人术后12个月随访时X线图像;d为病人术后44个月随访时X线图像。白色箭头指示邻近椎间隙变窄,红色标记提示邻近节段明显骨赘形成。 图 1 1例C5/6椎间盘突出症行ACDF病人ASD影像表现 |
| 表 1 ASD组与无退变组各指标检测结果比较(x±s) |
|
|
ASD通常用来描述脊椎的退行性改变。目前ASD病因尚无定论。多数学者认为,融合术后邻近节段生物力学的改变是其主要发病机制,椎间运动单元的数量减少,导致颈椎的运动受到限制,而增加了相邻节段终板、纤维环等椎间结构应力负荷,尤其是邻近节段的应力负荷,应力变得集中,从而加速了ASD的发生。
HILIBRAND等[3]对374例ACDF术后病人研究显示,ASD的发病率相对稳定,年发病率约为2.9%,术后5年的发病率为13.6%,术后10年发病率约为25.6%。参考既往文献,ASD的发病率为14%~92%,结果出现如此大的差异是因为ASD的诊断尚无明确标准,且随着融合节段的增多,ASD的发病率也随之增高。本研究中ASD的发病率为23.3%,高于HILIBRAND等[3]研究结果。其原因为:本文研究ASD诊断仅参考影像学资料,并没有排除仅有影像学改变而无临床症状的ASD病人。目前多数学者认为,多节段比单节段融合更容易导致ASD。CHUNG等[4]对177例行ACDF病人进行10年以上随访研究,结果表明多节段融合病人ASD发病率高达32.1%。人体椎间盘会随着时间而自然退化,因此自然退变可能是ASD比较明确的病因之一。目前可以明确颈椎病的发生率会随年龄增长而增加,有研究认为ASD可能是椎间盘在自然状态下退变的结果[3];该研究还发现单节段ACDF的老年病人更容易发生ASD, 并且术后ASD程度和术前ASD的程度密切相关。SONG等[5]根据年龄分组研究显示,年轻组(平均年龄47.7岁)ASD发病率为2%,老年组(平均年龄61.1岁)ASD发病率为6%。本研究中年龄与ASD的发病率正相关,与其结果相符[5]。提示ACDF本身对邻近节段疾病的发展影响较小,自然退变是ASD的影响因素。本文单节段ASD的发病率为23.3%,低于CHUNG等[4]报道的32.1%。本研究虽然只对单节段ACDF病人进行了随访,但结合相关研究结果认为,无论单节段或多节段ACDF,均会加速ASD的发生。基于ASD的发病机制,多节段ACDF对颈椎生物力学改变较单节段ACDF大,临床中我们应该避免前路多节段ACDF,以保证椎间运动单元的数量,从而减弱颈椎生物力学的改变,延缓ASD的发生。此外,我们认为自然退变是ASD的发病原因之一,不能完全归因于ACDF,由于本文研究病人随访时间短,这种自然进程尚不能完全体现;并且此次研究缺少保守治疗单节段颈椎病病人作为研究对照组,无法排除ACDF本身对ASD的影响。
手术者的操作也会影响ASD的发病率,如钢板放置位置不当以及颈椎曲度恢复不良等。PARK等[1]对118例病人的侧位X线片进行回顾性分析发现,相邻节段骨化(ALOD)与PDD呈正相关,钢板位置不良导致上位节段骨化性疾病的发病率高达59%;PDD<5 mm是ALOD的明确危险因素。尽管还没有直接证据表明ALOD与ASD的关系,但可推测ALOD是ASD早期改变。本文结果显示退变组PDD较无退变组小,差异有显著性。与上述研究结果一致。KATSUURA等[6]研究发现,ACDF后融合椎体的排列和整个颈椎矢状面的排列更加后凸。在此基础上研究发现,ACDF后颈椎矢状面曲度恢复欠佳是ASD发生的一项危险因素。本研究结果显示,ACDF后颈椎Cobb角影响ASD的发生。因此手术操作中我们应尽量选择使用最短的钛板,固定孔尽可能靠近融合椎间隙,螺钉拧入方向尽量远离融合椎间隙,以保证PDD>5 mm;同时恢复颈椎生理曲度对建立颈椎本身的生物力学环境有重要意义,摆放体位时应尽量保持病人颈椎的生理前凸,避免后凸畸形,以减缓ASD的发生。
阿海等[7]研究显示,发育性颈椎管狭窄组ASD发病率为68.97%,显著高于非发育性颈椎管狭窄组(35.48%), 发育性颈椎管狭窄与ASD的发病率呈正相关。其原因可能是发育性椎管狭窄(椎管直径绝对值小于11 mm)病人颈椎椎管储备空间减少,颈椎可能承受更大机械压力,从而加速ASD的发生。本研究中ASD组与无退变组椎管直径差异无统计学意义,与既往研究不符。发育性颈椎管狭窄是否是ASD的危险因素,还需要更深入的研究。
综上所述,手术时年龄、术后颈椎生理曲度及PDD是ACDF后ASD的影响因素,手术时年龄与术后ASD的发病率呈正相关,PDD过小、颈椎曲度恢复不良会加速ASD的发生。本研究尚存在不足之处:病例数较少且随访时间不够长;只对ACDF后通过影像学诊断为ASD的病人做出研究,有临床症状的ASD发病率及影响因素尚需进一步研究。
| [1] |
PARK J B, CHO Y S, RIEW K D. Development of adjacent-level ossification in patients with an anterior cervical plate[J]. The Journal of Bone and Joint Surgery. American Volume, 2005, 87(3): 558-563. DOI:10.2106/00004623-200503000-00012 |
| [2] |
MIYAZAKI M, HONG S W, YOON S H, et al. Reliability of a magnetic resonance imaging-based grading system for cervical intervertebral disc degeneration[J]. Journal of Spinal Disorders & Techniques, 2008, 21(4): 288-292. |
| [3] |
HILIBRAND A S, CARLSON G D, PALUMBO M A, et al. Radiculopathy and myelopathy at segments adjacent to the site of a previous anterior cervical arthrodesis[J]. The Journal of Bone and Joint Surgery.American Volume, 1999, 81(4): 519-528. DOI:10.2106/00004623-199904000-00009 |
| [4] |
CHUNG J Y, PARK J B, SEO H Y, et al. Adjacent segment pathology after anterior cervical fusion[J]. Asian Spine Journal, 2016, 10(3): 582-592. DOI:10.4184/asj.2016.10.3.582 |
| [5] |
SONG K J, CHOI B W, JEON T S, et al. Adjacent segment degenerative disease:is it due to disease progression or a fusion-associated phenomenon? Comparison between segments adjacent to the fused and non-fused segments[J]. European Spine Journal, 2011, 20(11): 1940-1945. DOI:10.1007/s00586-011-1864-9 |
| [6] |
KATSUURA A, HUKUDA S, SARUHASHI Y, et al. Kyphotic malalignment after anterior cervical fusion is one of the factors promoting the degenerative process in adjacent intervertebral levels[J]. European Spine Journal, 2001, 10(4): 320-324. DOI:10.1007/s005860000243 |
| [7] |
阿海, 关炳瑜, 李怀玮, 等. 发育性颈椎管狭窄与颈椎前路融合术后邻近节段退变的关系分析[J]. 颈腰痛杂志, 2018, 39(4): 525-526. |
2020, Vol. 56


