2. 青岛大学附属医院重症医学科, 山东 青岛 2660031
缺血性脑卒中是威胁人类生命的主要疾病之一[1],其主要危险因素是颈动脉粥样硬化[2]。有研究表明,颈动脉粥样硬化是一种缓慢发展的免疫炎症反应过程[3],从粥样硬化斑块形成、发展至斑块破裂,多种炎症细胞和炎症因子参与其中[4]。因此,探讨抑制炎症反应的干预措施以控制动脉粥样硬化发生发展,对治疗缺血性脑卒中具有重要意义。褐藻糖胶是海洋类褐藻植物中一种特有的多糖,有研究表明褐藻糖胶能够调节脂多糖(LPS)诱导的巨噬细胞炎症因子释放,抑制核转录因子κB(NF-κB)活化而反应性抑制促炎基因表达[5],但其对颈动脉易损斑块的作用及具体机制尚未有研究。Nod样受体蛋白3(NLRP3)在动脉粥样硬化发生发展过程中具有重要作用[6-8],NLRP3基因敲除小鼠动脉粥样硬化斑块及炎症因子白细胞介素-1β(IL-1β)分泌明显降低[9]。本实验通过构建高脂喂养的ApoE-/-小鼠颈动脉粥样硬化易损斑块模型,观察褐藻糖胶对颈动脉斑块NLRP3炎性小体相关蛋白表达影响,探讨褐藻糖胶对颈动脉粥样硬化的作用及其机制。
1 材料和方法 1.1 实验材料褐藻糖胶(Sigma-Aldrich公司), 用0.22 mm孔径过滤器进行过滤,并在-20 ℃条件下保存为褐藻糖胶提取物(10 g/L),直至使用。6周龄大小C57BL/6背景ApoE-/-基因敲除雄性小鼠(北京Vital River公司)36只,体质量为18~22 g,标准条件下饲养于青岛大学医学部实验动物中心,自由进食、饮水,每笼3只,适应性喂养2周后用于实验。NLRP3、半胱氨酸天冬氨酸酶-1(Caspase-1)、IL-1β(CST公司),ELISA检测试剂盒(eBioscience公司), ECL显影液(Millipore公司)。
1.2 动物分组及处理将36只小鼠随机分成对照组、模型组、褐藻糖胶组(实验组),每组12只。模型组、褐藻糖胶组小鼠于右侧颈总动脉插入颈动脉套管,并给予高脂饲料(每100.00 g饲料含胆固醇0.25 g、脂肪15.00 g)喂养制备小鼠颈动脉粥样硬化斑块模型[10]。对照组不手术,给予普通饲料喂养。模型制备后第4周褐藻糖胶组小鼠给予褐藻糖胶30 mg/(kg·d)腹腔注射,对照组及模型组腹腔注射等量生理盐水, 共注射4周。所有动物研究经青岛大学附属医院实验动物管理委员会批准,并遵循美国国立卫生研究院修订的《实验动物管理和使用指南》[11]。
1.3 检测指标及方法 1.3.1 标本采集小鼠禁食12 h(正常饮水),腹腔注射100 g/L水合氯醛(3 mL/kg)麻醉,内眦动脉取血;处死小鼠后固定于鼠板,沿颈部正中线剪开皮肤,暴露右侧颈总动脉,然后剪下套管两端长度约0.5 cm血管。
1.3.2 血脂测定取小鼠内眦动脉血约3 mL,3 000 r/min离心取上清,测定总胆固醇(TC)、三酰甘油(TG)、低密度脂蛋白胆固醇(LDL)水平。
1.3.3 病理观察将离体的右侧颈总动脉用40 g/L多聚甲醛固定,乙醇脱水、浸蜡包埋、切片,苏木精-伊红(HE)染色,光镜下观察血管动脉粥样硬化形成情况。
1.3.4 血清IL-1β、白细胞介素-6(IL-6)、肿瘤坏死因子α(TNF-α)水平检测采用ELISA方法分别检测血清中IL-1β、IL-6、TNF-α水平,按试剂盒说明书操作。
1.3.5 颈动脉粥样硬化斑块组织NLRP3、Caspase-1、IL-1β水平测定应用Western Blot方法。用RIPA裂解液裂解颈动脉组织,BCA法测定蛋白质含量,SDS-PAGE电泳分离蛋白,然后转到PVDF膜上。室温封闭后2 h后与一抗(1:1 000)4 ℃孵育过夜。用TBST洗涤后,加二抗在室温下孵育1 h,ECL显影。应用图像分析软件对图像进行分析,以目的条带与GAPDH的灰度值比值表示蛋白相对表达量。
1.4 统计学处理采用SPSS 19.0软件进行统计学分析,计量资料结果以x±s表示,多组间比较采用单因素方差分析(one-way ANOVA),组内两两比较采用LSD法。以P<0.05为差异有统计学意义。
2 结果 2.1 各组小鼠血清脂质水平比较模型组血清TC、TG、LDL水平与对照组比较明显升高,而褐藻糖胶组血清TC、TG、LDL水平较模型组明显降低,差异有统计学意义(F=8.31~126.25,P<0.05)。见表 1。
| 表 1 各组血脂水平比较(n=12, c/mmol·L-1,x±s) |
|
|
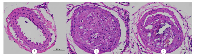
光镜下可见,对照组小鼠血管未见明显粥样斑块,管壁3层结构明显,内膜完整;模型组小鼠颈动脉内见明显粥样硬化斑块形成,斑块内见泡沫细胞浸润,部分破裂,血栓形成;而褐藻糖胶组小鼠颈动脉内粥样斑块明显减轻,泡沫细胞减少。见图 1。
![]() |
| A:对照组;B:模型组;C:褐藻糖胶组。HE染色,200倍。 图 1 各组小鼠颈动脉粥样硬化易损斑块的组织学观察 |
模型组小鼠血清炎症因子IL-1β、IL-6、TNF-α表达较对照组升高,褐藻糖胶组各血清炎症因子水平较模型组下降,差异有统计学意义(F=60.21~190.73,P<0.05)。见表 2。
| 表 2 各组小鼠血清炎症因子含量比较(n=12, ρ/ng·L-1,x±s) |
|
|
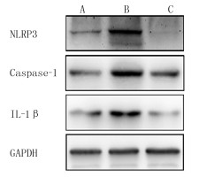
与对照组比较,模型组小鼠颈动脉粥样硬化易损斑块中NLRP3、Caspase-1、IL-1β的表达明显增高; 与模型组比较,褐藻糖胶组NLRP3、Caspase-1、IL-1β表达降低,差异有显著性(F=50.22~120.59,P<0.05)。见图 2、表 3。
![]() |
| A:对照组;B:模型组;C:褐藻糖胶组。 图 2 Western Blot检测各组颈动脉粥样硬化斑块中NLRP3炎性小体通路相关蛋白表达 |
| 表 3 各组小鼠各蛋白表达比较(n=10, x±s) |
|
|
炎症在动脉粥样硬化发生和发展以及血栓形成中起着重要的作用[3]。褐藻糖胶是以L-褐藻糖为基础的多糖,具有多种生物学功能,包括抗炎、抗血管生成、抗凝血、抗肿瘤等,是天然海洋药物研究的热点[12-14]。然而,褐藻糖胶在动脉粥样硬化中的作用及其机制尚不清楚。本文利用颈动脉套管合并高脂饲料饲养构建ApoE-/-小鼠颈动脉粥样硬化易损斑块模型,探讨褐藻糖胶对ApoE-/-小鼠颈动脉粥样硬化的作用及其机制。
有研究结果显示,褐藻糖胶可以调节高脂喂养ApoEshl小鼠血脂水平及动脉粥样硬化进展[15]。本文结果与其一致。本文结果显示,褐藻糖胶干预后小鼠血清TC、TG和LDL水平较模型组明显降低;病理观察显示,与对照组相比,模型组颈动脉血管内壁有大量脂质及泡沫细胞堆积,血管腔严重堵塞,而褐藻糖胶组颈动脉血管内壁斑块面积及脂滴明显减少,提示褐藻糖胶能够缓解小鼠颈动脉粥样硬化易损斑块的发生和进展。TNF-α介导全身炎症和免疫反应,在慢性炎症性疾病的发生发展过程中均发挥作用[16-17]。IL-6及IL-1β都是促炎性细胞因子,可刺激炎症的产生,促进免疫性疾病的发生,在动脉粥样硬化过程中起到重要作用[18-20]。有研究显示,褐藻糖胶能够调节LPS诱导的巨噬细胞释放TNF-α、IL-1β、IL-6等炎症因子[21]。本文ELISA检测显示,褐藻糖胶能够明显降低ApoE-/-小鼠炎症因子IL-1β、IL-6、TNF-α分泌。表明褐藻糖胶能够通过抑制炎症反应而发挥抗动脉粥样硬化作用。
研究表明,褐藻糖胶能够影响炎症因子IL-1β表达, 而在众多调节炎性因子IL-1β成熟和分泌的通路中,NLRP3炎性小体依赖性的经典通路尤为重要[7, 20]。NLRP3炎症小体是NLRs家族中的一员,是由感受蛋白NLRP3、衔接蛋白凋亡相关斑点样蛋白ASC和效应蛋白激酶Caspase-1等组成的复合物[22-23]。已有研究显示,胆固醇结晶、氧化低密度脂蛋白、血流动力异常都会激活单核巨噬细胞NLRP3炎症小体,进而诱导Caspase-1介导的炎性细胞因子IL-1β的成熟分泌,导致心脑血管疾病和事件的发生[24]。因此,抑制NLRP3炎性小体能够控制动脉粥样硬化的发展,稳定动脉粥样硬化斑块,降低因不稳定斑块造成的缺血性脑卒中的风险。本文采用Western Blot方法检测小鼠颈动脉粥样硬化斑块组织NLRP3炎性小体及IL-1β水平,结果显示,与模型组相比较,褐藻糖胶组NLRP3蛋白的表达降低,Caspase-1蛋白及下游炎性细胞因子IL-1β表达减少,一定程度上表明褐藻糖胶能够通过下调NLRP3炎性小体相关蛋白表达而发挥抗炎作用。
综上所述,褐藻糖胶能够通过下调NLRP3炎性小体通路抑制炎症而发挥抗颈动脉粥样硬化作用。本文结果可为抗动脉粥样硬化辅助治疗提供候选药物。
| [1] |
LOPEZ A. Measuring the global burden of disease[J]. The New England Journal of Medicine, 2013, 369(5): 448-457. DOI:10.1056/NEJMra1201534 |
| [2] |
GBD 2016 Stroke Collaborators. Global, regional, and national burden of neurological disorders, 1990—2016: a systematic analysis for the Global Burden of Disease Study 2016[J]. The Lancet Neurology, 2019, 18(5): 459-480. DOI:10.1016/S1474-4422(18)30499-X |
| [3] |
HANSSON G K, HERMANSSON A. The immune system in atherosclerosis[J]. Nat Immunol, 2011, 12(3): 204-212. DOI:10.1038/ni.2001 |
| [4] |
TOUSOULIS D, OIKONOMOU E, ECONOMOU E K, et al. Inflammatory cytokines in atherosclerosis:current therapeutic approaches[J]. Eur Heart J, 2016, 37(22): 1723-1732. DOI:10.1093/eurheartj/ehv759 |
| [5] |
ASANKA SANJEEWA K K, JAYAWARDENA T U, KIM H S, et al. Fucoidan isolated from Padina commersonii inhibit LPS-induced inflammation in macrophages blocking TLR/NF-κB signal pathway[J]. Carbohydr Polym, 2019, 224: 115195. DOI:10.1016/j.carbpol.2019.115195 |
| [6] |
DUEWELL P, KONO H, RAYNER K J, et al. NLRP3 inflammasomes are required for atherogenesis and activated by cholesterol crystals[J]. Nature, 2010, 464(7293): 1357-1361. DOI:10.1038/nature08938 |
| [7] |
HOSEINI Z, SEPAHVAND F, RASHIDI B, et al. NLRP3 inflammasome: Its regulation and involvement in atherosclerosis[J]. J Cell Physiol, 2018, 233(3): 2116-2132. DOI:10.1002/jcp.25930 |
| [8] |
MANGAN M S J, OLHAVA E J, ROUSH W R, et al. Targeting the NLRP3 inflammasome in inflammatory diseases[J]. Nat Rev Drug Discov, 2018, 17(9): 688-695. |
| [9] |
ZHENG F, XING S S, GONG Z S, et al. Silence of NLRP3 suppresses atherosclerosis and stabilizes plaques in apolipoprotein E-deficient mice[J]. Mediat Inflamm, 2014(4): 507-518. |
| [10] |
SUDIRMAN S, ONG A D, CHANG H W, et al. Effect of fucoidan on anterior cruciate ligament transection and medial meniscectomy induced osteoarthritis in high-fat diet-induced obese rats[J]. Nutrients, 2018, 10(6): 686. DOI:10.3390/nu10060686 |
| [11] |
LIBBY P, LICHTMAN A H, HANSSON G K. Immune effector mechanisms implicated in atherosclerosis:from mice to humans[J]. Immunity, 2013, 38(6): 1092-1104. DOI:10.1016/j.immuni.2013.06.009 |
| [12] |
YANG X, WANG S, TRANGLE S S, et al. Investigation of different molecular weight fucoidan fractions derived from new zealand Undaria pinnatifida in combination with GroA therapy in prostate cancer cell lines[J]. Marine Drugs, 2018, 16(11): 454. DOI:10.3390/md16110454 |
| [13] |
LI X J, YE Q F. Fucoidan reduces inflammatory response in a rat model of hepatic ischemia-reperfusion injury[J]. Can J Physiol Pharmacol, 2015, 93(11): 999-1005. DOI:10.1139/cjpp-2015-0120 |
| [14] |
PARK J, CHA J D, CHOI K M, et al. Fucoidan inhibits LPS-induced inflammation in vitro and during the acute response in vivo[J]. International Immunopharmacology, 2017, 43: 91-98. DOI:10.1016/j.intimp.2016.12.006 |
| [15] |
YOKOTA T, NOMURA K, NAGASHIMA M, et al. Fucoidan alleviates high-fat diet-induced dyslipidemia and atherosclerosis in ApoE(shl) mice deficient in apolipoprotein E expression[J]. J Nutr Biochem, 2016, 32(3): 46-54. |
| [16] |
TAY C, LIU Y H, HOSSEINI H, et al. B-cell-specific depletion of tumour necrosis factor alpha inhibits atherosclerosis development and plaque vulnerability to rupture by reducing cell death and inflammation[J]. Cardiovascular Research, 2016, 111(4): 385-397. |
| [17] |
OBEROI R, VLACIL A K, SCHUETT J, et al. Anti-tumor necrosis factor-α therapy increases plaque burden in a mouse model of experimental atherosclerosis[J]. Atherosclerosis, 2018, 27(7): 80-89. |
| [18] |
LARSSON P T, HALLERSTAM S, ROSFORS S, et al. Circulating markers of inflammation are related to carotid artery atherosclerosis[J]. Int Angiol: a J Int Union Angiol, 2005, 24(1): 43-51. |
| [19] |
SONG L, SCHINDLER C. IL-6 and the acute phase response in murine atherosclerosis[J]. Atherosclerosis, 2004, 177(1): 43-51. |
| [20] |
GREBE A, HOSS F, LATZ E. NLRP3 inflammasome and the IL-1 pathway in atherosclerosis[J]. Circ Res, 2018, 122(12): 1722-1740. DOI:10.1161/CIRCRESAHA.118.311362 |
| [21] |
YU H H, CHENGCHUAN KO E, CHANG C L, et al. Fucoidan inhibits radiation-induced pneumonitis and lung fibrosis by reducing inflammatory cytokine expression in lung tissues[J]. Marine Drugs, 2018, 16(10): 392. DOI:10.3390/md16100392 |
| [22] |
DAVIS B K, WEN H T, TING J P Y. The inflammasome NLRS in immunity, inflammation, and associated diseases[J]. Annu Rev Immunol, 2011, 29: 707-735. DOI:10.1146/annurev-immunol-031210-101405 |
| [23] |
SWANSON K V, DENG M, TING J P Y. The NLRP3 inflammasome: molecular activation and regulation to therapeutics[J]. Nat Rev Immunol, 2019, 19(8): 477-489. DOI:10.1038/s41577-019-0165-0 |
| [24] |
ABDERRAZAK A, COUCHIE D, MAHMOOD D F, et al. Anti-inflammatory and antiatherogenic effects of the NLRP3 inflammasome inhibitor arglabin in ApoE2.Ki mice fed a high-fat diet[J]. Circulation, 2015, 131(12): 1061-1070. DOI:10.1161/CIRCULATIONAHA.114.013730 |
2020, Vol. 56



